Este nuevo año comienza con cambios en un tratamiento clásico dentro de nuestro sector, el material de los empastes. Aunque su cambio ya se introdujo en nuestra Clínica dental Los Valles hace algún tiempo, hoy queremos hablarte de la importancia de los nuevos materiales aptos de los empastes en nuestros pacientes y de la prohibición del uso de la amalgama de plata en el 2025 por la UE, Unión Europea.
Material de los empastes
✅ Hasta hace poco tiempo, el material de los empastes estaba denominado con amalgama de plata y conformado por más componentes: zinc, estaño, cobre y mercurio. Aunque la amalgama tiene un factor contaminante para el medio ambiente, aún existían dudas sobre su efecto en la salud de los humanos.
✅ En verano del 2018 ya se prohibió su empleo en los pacientes menores de 15 años y en embarazadas. Pero a partir del 1 de enero de 2025, la UE ha prohibido el uso del mercurio en aquellos tratamientos odontológicos realizados con amalgama y sus componentes, según diferentes fuentes médicas.
✅ Una decisión tomada desde hace varios años por nuestros profesionales de Clínica dental Los Valles en pro de la salud de todos nuestros pacientes. Porque el mercurio, recordemos, es un material tóxico para nuestro sistema nervioso central y el periférico porque está en contacto directo y prolongado con los tejidos y fluidos del cuerpo.

Material de los empastes, empastes
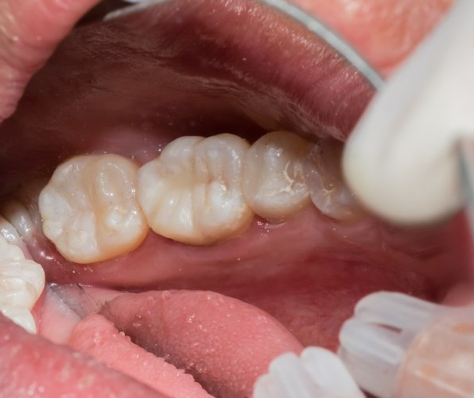
✅ El empaste o reconstrucción dental “es el procedimiento habitual para tratar la caries cuando no está muy avanzada”. Su tratamiento consiste en eliminar el tejido dañado para rellenarlo con un material de obturación, tipo composite. Para, finalmente, pulir la superficie y encajarlo de forma perfecta con el resto de dientes.
👉Pero, ¿de qué está compuesto este material de los empastes biocompatible o biomaterial?
✅ Los composites dentales están formados por una matriz orgánica BIS-GMA o UDMA y un material inorgánico que actúa como mineral de relleno: cuarzo, circonita y silicatos de aluminio. Las partículas de relleno, por ejemplo, “proporcionan dureza, resistencia y disminuyen la contracción de la masa al endurecer”.
✅ Pero no sólo se usa en los empaste sino también en estética dental con las carillas dentales. Con este tratamiento se cierran espacios dentales, diastemas, se corrigen dientes rotos o aquellos dientes malformados para ofrecer un aspecto más estético y heterogéneo.

Recomendaciones de nuestros expertos
✅ De este modo, el uso de materiales biocompatibles o biomateriales en sus tratamientos odontológicos es una de nuestras máximas en la calidad de nuestros pacientes. Ya que estos composites dentales están en contacto directo con los tejidos y fluidos del cuerpo.
✅ Por esta razón, nos unimos a la decisión tomada por la Unión Europea sobre la prohibición de la amalgama en nuestros pacientes. Porque la calidad de nuestros pacientes es uno de nuestros grandes objetivos de nuestra clínica dental en Guadalajara.
✅ Pide tu primera cita con su revisión gratuita con nuestros expertos por si necesitas un empaste, si notas alguna molestia, rotura de alguna pieza o necesitas una nueva sonrisa. ¡Nuestra experiencia de más de veinte años nos avala!


